こんな症状ありませんか?
Isn't there such symptom?
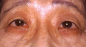
まぶたが下がって物が見にくくなってきた
眼瞼下垂症の可能性があります。眼瞼下垂症は外来ではよく見られる疾患で、開瞼時に上眼瞼が正常な位置より下がって、眠たそうな印象を与える疾患です。見かけだけでなく実際に、上眼瞼が下垂していることによりテレビが見にくかったり目の前がうっとうしいなどの症状が現れます。眼瞼挙筋の機能が全くないものや神経支配の異常によるものは挙筋短縮術の適応にはなりませんが、少しでも挙筋機能が保たれている場合には挙筋短縮術が第一選択となります。そうでない場合は吊り上げ術などが適応となります。眼瞼下垂で悩んでおられる方がおられましたら、ご相談下さい。


